Lompat ke konten Lompat ke sidebar Lompat ke footer
close

Calcification Tendon Achille Que Faire

Calcification Tendon Achille Que Faire

Il sert notamment à marcher sur la pointe des pieds. Cet article concerne la partie anatomique.

Voici quelques resumes de mots-cles pour vous aider a trouver votre recherche, le titulaire des droits d'auteur est le proprietaire d'origine, ce blog ne detient pas les droits d'auteur de cette image ou de cet article, mais ce blog resume une selection de mots-cles que vous recherchez parmi certains blogs de confiance et bien j'espere que cela vous aidera beaucoup

D'un point de vue biomécanique, il permet la propulsion lors de la marche et joue le rôle d'amortisseur lors de la. Bone is living tissue and responds to stress esp. Même si le tendon d'achille fait partie des tendons les plus robustes du corps humain, il peut faire l'objet de blessures et d'affections.

Symptomes Et Diagnostic De La Tendinite Du Talon Rotulien Dr Paillard
visitez l'article complet ici : https://www.chirurgie-orthopedique-paris.com/pathologies/tendinite-du-tendon-rotulien/
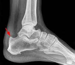
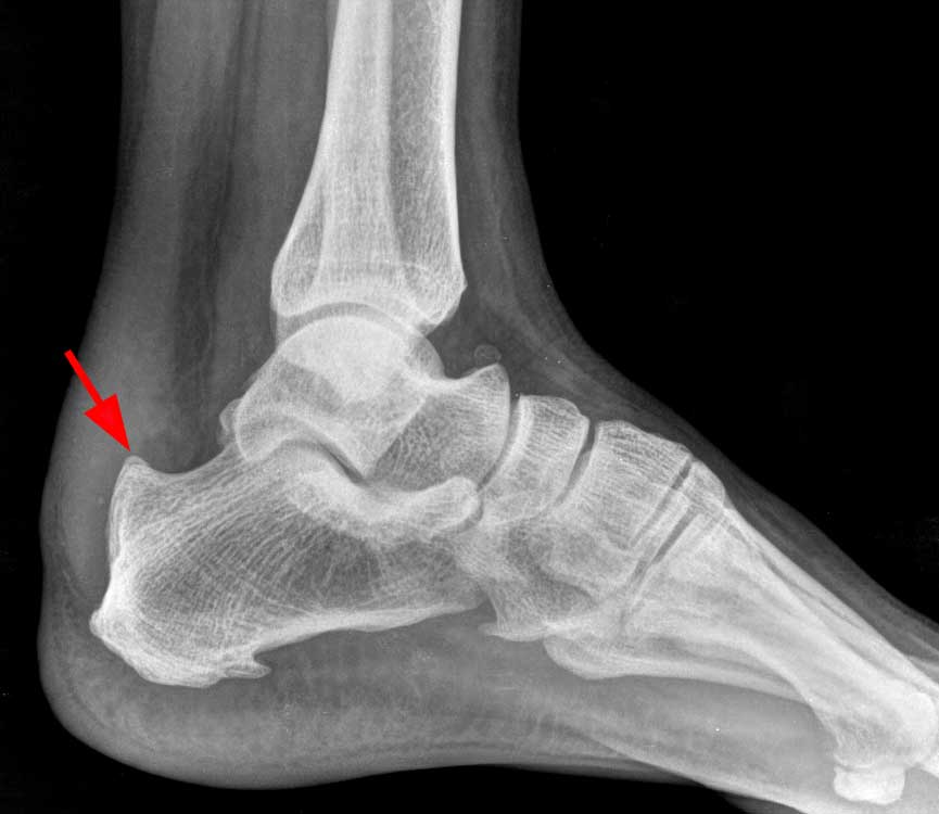
Tendinite (sans calcification) du talon d'achille. Je fais de la course à pied. Plusieurs types de lésions peuvent affecter le tendon d'achille.

Treating this calcium can help permanently reduce pain.

Pour l'expression courante, voir talon d'achille. Calcification of the achilles tendon. It is estimated that three to five percent of people suffer from this disorder 'calcifying' refers to calcium spots and 'rotator cuff' to the four muscles that together form the shoulder belt.

Calcium buildup in this area can restrict the range of motion in your arm, as well as cause pain and discomfort. En fait, lorsque l'on fait une échographie, couplée au doppler, d'un tendon d'achille qui souffre, il existe parfois une vascularisation de ce tendon. These muscles are attached to the shoulder.

Icpr Pathologie Tendinopathies D Achille
visitez l'article complet ici : https://www.icpr.fr/tendinopathies-achille.html
Il sert notamment à marcher sur la pointe des pieds. • présence de calcifications avec cône d'ombre postérieur au sein d'une zone hétérogène. Le prélèvement du tendon du long flé.

La tendinite du tendon d'achille aussi appelée tendinite calcanéenne ou tendinite achiléenne est une douleur, le plus souvent liée à une le tendon d'achille peut se fissurer avec le temps et finir par se rompre lors d'un mouvement brutal.

On peut également rechercher des calcifications qui témoignent d'évolution chronique de la. What is calcification at the insertion site of the achilles tendon answered by dr. Quand le calcium s'accumule dans le tendon.

Cet article concerne la partie anatomique. On voit toutefois un peu plus haut que le tendon est beaucoup plus. En pratique, les ruptures partielles les plus fréquentes sont en fait des clivages intratendineux longitudinaux, en particulier sur le versant.

Que Dois Je Faire En Cas De Tendinite D Achille Centre Orthopedique Santy
visitez l'article complet ici : http://centre-orthopedique-santy.com/membre-inferieur-pathologies-que-dois-je-faire-en-cas-de-tendinite-dachille/
La tendinite calcifiante fait référence à une accumulation de calcium dans la coiffe des rotateurs (calcification). Tendon calcification occurs mainly in the tendons around the shoulder head. Pour l'expression courante, voir talon d'achille.

Les tendinopathies du tendon d'achille se rencontrent sur 2 sites ;

Les douleurs sont intenses les douleurs sont tellement intense qu'elles peuvent imposer la prise de morphine et faire. Je fais de la course à pied. Le tendon d'achille est souvent désigné comme étant le tendon le plus long, fort et épais de tout le corps humain (bianchi et martinoli, 2007):

Posting Komentar untuk "Calcification Tendon Achille Que Faire"